About Us
Our Cases
Job Order
Contacts
About Us
Our Cases
Job Order
Contacts
Our Cases
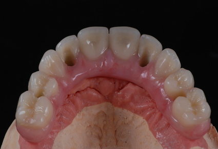
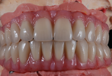
ALL-ON-4 PROSTHESIS WITH TRINIA FRAME
Contact
us
Заполните
форму
и мы пришлем вам прайс
Ваша должность
Выберите должность
стоматолог-ортопед
стоматолог-ортодонт
руководитель
зубной техник
другая
В каком вы городе?
Выберите город
Москва
Санкт-Петербург
Другой
Ваше Имя Фамилия Отчество:
Ваш телефон:
Ваш e-mail:
Сообщение:
Получить прайс
Thanks!
After checking the data, we will send you a price list to the specified e-mail address